Besonders geeignet für mikroskopische Untersuchungen sind sehr kleine Fische, z.B. Guppys, da die Hartteile noch weitgehend unverknöchert sind und sich die Objekte daher noch gut mit dem Mikrotom schneiden lassen.
Die hier gezeigten Paraffinschnitte wurden alle selbst angefertigt (MINOT-Mikrotom, Schnittdicke 8 um), die Aufnahmen wurden mit der Kombination 10x5 (PK-Projektiv), 25x5 (PK-Projektiv) und 40x5 (PK-Projektiv) durchgeführt (LEITZ, Achromat). Als Kamera diente eine Digitalkamera, Typ KODAK EasyShare C613, 6.1 Megapixel). Die hier gezeigten Bilder wurden heruntergesampelt, wobei wegen der immanenten Unschärfe von Mikroaufnahmen dieser Art der Qualitätsverlust kaum merkbar ist. Weitere Hinweise s.u. Digitalfotografie.
![]() |
Beschriftung | ![]() |
![]() |
|
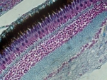
| Iris HE-Färbung |
Iris MASSON-GOLDNER- Färbung |
Sklera und Conjunctiva |
Am interessantesten ist stets die Untersuchung der Augen. Die obigen
Bilder zeigen den Feinbau der Iris. Deutlich erkennt man, daß die
Iris aus drei Schichten aufgebaut ist: Den beiden Schichten des (schwarzen)
Pigmentepithels ist zum Lichte hin eine weitere dünne Gewebsschicht
aufgelagert, deutlicher am linken Bild zu erkennen. Diesen Bau zeigt auch die
menschliche Iris - ist die äußere Schicht relativ dick, erscheinen
die Augen grau, ist sie sehr dünn, erscheinen die Augen braun oder fast
schwarz, ist die Schicht dünn bei gleichzeitigem Fehlen der Pigmentierung
resultieren blaue Augen, da dann das dunkle Augeninnere durchscheint.
Der Augapfel wird von der Sklera gebildet (in den rechten Bild grün gefärbt), die hier vor der Iris einen relativ dicken Ring bildet. Nach außen wird die Sklera von der dünnen Conjunktiva (Bindehaut) bedeckt (in den rechten Bild violett). Der durchsichtige Teil der Sklera vor der Pupille wird als Cornea bezeichnet. Im ganz rechten Bild erkennt man den Bindehautsack. Diese Falte läßt die Bewegung der Augen zu, gleichzeitig verhindert die Conjunctiva das Eindringen von Fremdkörpern zwischen Sklera und Augenhöhle.
Die Retina (Netzhaut) der Wirbeltiere ist ein vorgeschobener Teil des Hirnes - der Nervus opticus (Sehnerv) müßte daher eigentlich als Tractus opticus bezeichnet werden, da er zwei Hirnteile verbindet.
![]() |
![]() |
![]() |
![]() |
|
|
Retina
HE-Färbung |
Retina
HE-Färbung |
Retina
AZAN-Färbung |
Retina
MASSON-GOLDNER |
|
![]() |
![]() |
|||
| Retina Schema |
Loligo, everse
Retina HE-Färbung |
Die Retina der Wirbeltiere ist eine "inverse Retina", denn
die Lichtrezeptoren zeigen vom Lichte weg, oder, anders ausgedrückt, das
Licht muß erst alle Schichten der Retina passieren, bevor es auf die Lichtrezeptoren
fällt. Diese Anordnung ist eine Folge der embryonalen Augenentwicklung,
optisch ist sie nur von Nachteil. Zum Vergleich die Retina eines Tintenfisches
(Loligo) - hier sind die Photorezeptoren zum Lichte hin ausgerichtet, es handelt
sich um eine "everse Retina".
Schon innerhalb der Retina erfolgt eine wesentliche Vorverarbeitung des Bildes:
Bildkanten werden hervorgehoben, bei geringer Lichtintensität werden immer
mehr Rezeptoren zu "Clustern" zusammengeschaltet (geringere Auflösung,
dafür höhere Lichtempfindlichkeit). Diese Vorverarbeitung erledigen
die Bipolaren (s.Schema), ferner die Horizontalen und Amakrinen
(im Schema nicht dargestellt). Da stets zahlreiche Bipolaren auf nur eine Sehnervenzelle
geschaltet sind, ist die Bildauflösung im Hirn wesentlich geringer als
sich diese aus der Zahl der Rezeptoren ergibt - dies dient der Informationsbegrenzung.
Hinter der Retina befindet sich das zweischichtige Pigmentepithel, das von der Entwicklung her ebenfalls ein Teil der Retina ist. Die Pigmentierung mit Melanin verhindert störende Lichtreflexe, viel wichtiger jedoch ist die biochemische Zusammenarbeit zwischen den Photorezeptoren (Stäbchen und Zäpfchen) und den angrenzenden Zellen des Pigmentepithels: Während des Sehvorganges schnüren die Rezeptoren ständig winzige Bläschen ab, die von den Pigmentzellen aufgenommen und abgebaut werden; die hierbei freigesetzten Stoffe werden biochemisch verändert und den Rezeptoren permanent neu zugeführt. Löst sich die Retina vom Pigmentepithel (Netzhautablösung) führt dies im betroffenen Bereich zur sofortigen Erblindung. Wird der Kontakt operativ wieder hergestellt, verschwindet die Erblindung.
An der Eintrittsstelle des Sehnerven fehlen naturgemäß die Rezeptoren, dort befindet sich der "blinde Fleck", aber selbst bei einäugigem Sehen nehmen wir diesen blinden Fleck nicht wahr. Dies liegt daran, daß das Bild, welches wir zu sehen glauben, erst im Hirn entsteht - das Auge liefert hierzu nur das "Rohmaterial". Tatsächlich ist die optische Bildqualität des Auges miserabel, zudem wird beim menschlichen Auge überhaupt nur ein Sehwinkel von wenigen Graden scharf wahrgenommen.
Eine Besonderheit des Wirbeltierauges ist die "Fovea centralis", ein Bereich der Retina von wenigen Millimetern Durchmesser, in dem die Bipolaren fehlen und eine 1:1 -Verbindung zwischen den Photorezeptoren (gewöhnlich Zäpfchen) und den Sehnervenzellen besteht (Ort des schärfsten Sehens). Fischen fehlt diese Fovea, außerdem dominieren die nur hell-dunkel-empfindlichen Stäbchen, da diese wesentlich lichtempfindlicher sind.
![]() |
![]() |
![]() |
| Seitenlinienorgan AZAN-Färbung |
Seitenlinienorgan HE-Färbung |
Geschmacksbecher MASSON-OLDNER |
Fische besitzen im Bereich des Kopfes ein nach außen offenes Kanalsystem, das sich von dort aus entlang der Flanken fortsetzt, das "Seitenlinienorgan". Am Boden dieser Kanäle befinden sich Gruppen von Mechanorezeptoren, mit deren Hilfe Wasserströmungen wahrgenommen werden.
Ebenfalls im Kopfbereich sind "Geschmacksbecher" vorhanden, die dem Aufspüren von Nahrung dienen, aber auch eine Warnfunktion besitzen. Bei Landtieren findet man derartige Rezeptorgruppen nur innerhalb der Mundhöhle, gewöhnlich auf die Zunge beschränkt, bei Fischen findet man sie auch auf der Körperoberfläche!
![]() |
![]() |
![]() |
![]() |
| Schleimzellen AZAN-Färbung |
Knochenentwicklung AZAN-Färbung |
Muskulatur AZAN-Färbung |
Darmwand MASSON-GOLDNER |
Die Haut der Fische ist mit Schleim bedeckt, der von speziellen Schleimzellen gebildet wird. Besonders große Zellen dieser Art finden sich im Mundbereich, die Schleimvacuolen werden von der AZAN-Färbung blau dargestellt.
Bei sehr kleinen Fischen ist die Knochenentwicklung gewöhnlich unvollständig. Das Bild zeigt sehr schön, wie Stützknochen entstehen: Zunächst wird die Form des Knochens durch Knorpelgewebe (blau) vorgebildet, dann wird der Knorpel durch Knochengewebe (rot) ersetzt. Die für echten Knochen typischen HAVERSSCHEN SYSTEME fehlen hier, desgleichen die massive Einlagerung von Calciumcarbonat und Calciumphosphat (genauer: Hydroxylapatit).
Die Willkürmuskulatur der Wirbeltiere ist die quergestreifte Muskulatur. Die Muskelzellen sind polyenergid, sie besitzen zahlreiche wandständige Zellkerne. Im Inneren verlaufen die Muskelfibrillen (kontraktile Elemente). Jede Fibrille zeigt eine alternierende Struktur. Da die Fibrillen parallel liegen, gleichartige Strukturelemente auf derselben Höhe, entsteht das Bild einer Querstreifung.
Schließlich zeigt die obere Bildreihe noch die Darmwand, die zu einem erheblichen Anteil aus Bindegewebsfasern besteht (grün), in die glatte Muskelzellen eingelagert sind (violett, hier schwer zu erkennen). Nach Innen aufgelagert ist das einschichtige Darmepithel, das aus langgestreckten Zellen besteht (hochprismatisches Epithel, rotviolett gefärbt).
![]() |
![]() |
![]() |
![]() |
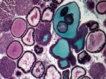
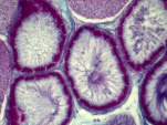
| Hoden MASSON-GOLDNER |
Hoden MASSON-GOLDNER |
Hoden AZAN-Färbung |
Hoden AZAN-Färbung |
Besonders interessant sind die primären Geschlechtsorgane. Der Hoden besteht aus zahlreichen Hodenkanälen, in denen die Spermien heranreifen. Bei lebendgebärenden Fischen, wie z.B. den Guppys, werden die reifen Spermien zu Spermatophoren verklebt, die dann auf das weibliche Tier übertragen werden (innere Befruchtung). Diese Spermatophoren erkennt man sowohl im linken Bild (von grün gefärbtem Schleim umgeben) als auch im rechten Bild.
Copyright: webmaster@mikrohamburg.de