BILDER EINES GEFÄHRLICHEN PFLANZENPARASITEN

   

Pyknidium mit Pyknosporen
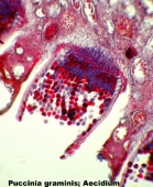
Aecidium mit Aecidiosporen

Der Getreiderost Puccinia graminis gehört zur großen Gruppe der Rostpilze, die ausschließlich parasitisch leben.

Im Frühjahr infizieren Dauersporen (Teleutosporen), die den Winter überstanden haben, die Blätter der Berberitze, wo sie im Blatt ein Mycel bilden, das zunächst auf der Blattoberseite durchbricht und Pyknosporen bildet (hier gezeigt am Beispiel des Birnenrostes). Da zugleich ein klebriger Zuckersaft abgesondert wird, tragen Insekten diese winzigen Sporen auf andere Blätter und tragen so zur Verbreitung des Schmarotzers bei.

Später brechen auf der Blattunterseite becherförmige Aecidien durch, deren Sporen, die Aecidiosporen, das inzwischen herangewachsene Getreide infizieren. Wegen der erheblichen Primärvermehrung auf der Berberitze kann es nun zu einer rasanten Infektion ganzer Getreidefelder kommen. Die Blätter des Getreides überziehen sich bald mit rostbraunen Uredosporen, die vom Wind in Wolken über die Felder getrieben werden und immer neue Felder befallen.

Gegen Ende der Vegetationsperiode werden dann abermals Dauersporen gebildet, die Teleutosporen, die überwintern.

Da seit dem Ende der Jungsteinzeit alle Zivilisationen vom Anbau von Getreide abhängig sind, ist es nicht übertrieben, parasitische Pilze, die effektiv Monokulturen zu befallen vermögen, zu den größten Feinden der Zivilisation zu zählen, denn oft haben Pflanzenparasiten zu Hungersnöten geführt: Im 18. Jahrhundert waren Mißernten mitverantwortlich für die Französische Revolution, und im 19. Jahrhunder zwang die Kartoffelfäule, ausgelöst durch einen Algenpilz, viele Hunderttausend Iren zur Auswanderung in die USA.

Heute schützen uns Pflanzenschutzmittel vor Hungersnöten, und das so wirksam, daß es sogar möglich ist, im "Windschatten" dieser Chemikalien einen "ökologischen Anbau" zu betreiben; flächendeckend dürfte dies jedoch nicht möglich sein, denn raffiniert angepaßte Schmarotzer vom Schlage des Getreiderostes lauern nach wie vor auf ihre Chance! Vielleicht helfen durch Genmanipulation pilzresistent gemachte Getreidesorten, aber bislang konnten Parasiten noch immer durch Mutation und Auslese alle neuen Schwierigkeiten überwinden.

< HOME >

webmaster@mikrohamburg.de