SCHÖNE PRÄPARATE

Vorgestellt von Georg Wawczyniak

Bei einem privaten Besuch bei Prof. Klaus Hausmann in Berlin erfuhr ich zufällig, dass es auch in Hamburg einen naturwissenschaftlichen Verein gibt. Da ich mich schon während meiner aktiven Berufszeit als Biologielehrer für Mikroskopie interessiert hatte, konnte ich mir vorstellen, dieser Neigung nach meiner Pensionierung nachzugehen. 2006 trat ich dem Verein bei, noch ohne genaue Vorstellung über meine zukünftigen Interessen und Ansprüche.

Nach meiner Pensionierung 2008 hatte ich dann Zeit, mich mit der umfangreichen Präparatesammlung meiner ehemaligen Arbeitsstätte auseinander zusetzen - während meiner Dienstzeit hatte ich dafür kaum Zeit gehabt. Mit einem ausgeliehenen Lehrermikroskop begann ich meine Entdeckungsreise und ich stellte bald fest, dass eine fotografische Dokumentation ein lohnendes Projekt für mich, aber auch für meine noch aktiven Kollegen sei.

Beraten durch versierte Mitglieder der MIKRO besitze ich nun ein Leica Mikroskop (DM750), aufgerüstet mit verschiedenen sehr guten Objektiven und verschiedenen Kamerasystemen, die direkt an einen Computer angeschlossen sind und von dort aus gesteuert werden können.

Eine große Hilfe beim Betrachten von unbekannten Objekten ist das simultane Nachschlagen im Internet, ergänzt durch selbst erworbene Fachliteratur. Welch ein Unterschied zu den Zeiten als ich noch studierte oder in der Anfangszeit meiner Lehrertätigkeit!

Anfangs besuchte ich zunächst nur die allgemeine Mikrogruppe um Dr.Georg Rosenfeldt, in der ich kompetent mit den unterschiedlichen Techniken der Mikroskopie theoretisch und praktisch vertraut gemacht wurde. Die Untersuchungen der unbekannten Präparate mit dem neuen Mikroskop, dessen Leistungsfähigkeit ich immer weiter verbessert habe, bereiteten mir viel Freude, verbunden mit einer Bereicherung meines Lebens als Pensionär, zumal kein zeitlicher Druck mehr vorhanden ist. Zudem empfinde ich eine große Befriedigung darin die verschiedenen Techniken der Bildverarbeitung (Photoshop, Stacken) in meinem Alter immer besser zu beherrschen.

Mittlerweile bin ich auch in einer zweiten Gruppe des Naturwissenschaftlichen Vereins Hamburg tätig, der Mikropaläontologischen Gruppe, bei der mich die Formenvielfalt der unterschiedlichen Mikrofossilien (besonders der Foraminiferen und der Diatomeen) beeindruckt. Auch hier habe ich das Interesse, die verschiedenen fossilen Gehäuse fotografisch zu dokumentieren. Das führte wiederum dazu, dass ich mir eine gute Lupe (Leica EZ4D) mit eingebauter Kamera kaufte. Eine Kompaktkamera habe ich vor kurzem für Makroaufnahmen umgebaut. Die Ergebnisse dieser Untersuchungen führen im Team mit zwei Kollegen dazu, dass wir unter Leitung von Michael Hesemann einen Internetkatalog für Foraminiferen aufbauen ( www.foraminifera.eu ) .

Abschließend kann ich sagen, dass mein Leben durch das Mikroskopieren und die damit verbundenen Herausforderungen sehr bereichert wurde, auch dadurch, dass ich gleichgesinnte und interessierte Menschen kennen lernte, mit ihnen zusammenarbeiten kann und mich mit ihnen austausche
.

Georg Wawczyniak

Parasiten
Tetanusbakterien
(Wundstarrkrampf)
.
Trypanosomen
(Schlafkrankheit)
.
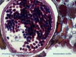
Bandwurm, quer
Pilze
und
Flechten
Claviceps purpurea
reife Perithecien
Claviceps purpurea
reife Perithecien
Claviceps purpurea
reife Perithecien
.
Puccinia graminis
Aecidien
(Getreiderost)
Puccinia graminis
Aecidium
(Getreiderost)
Puccinia graminis
Pyknidium
(Getreiderost)
Trüffel
Fruchtkörper
mit Sporen
Trüffel
Fruchtkörper
mit Sporen
     
Peziza
Asci
mit Ascosporen
Peziza
Asci
mit Ascosporen
 

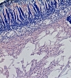
Flechte mit Sporenlager
und kugelf. Algen
.

Flechte mit kugelf. Algen Flechte mit Asci Flechte mit Asci
       

Flechte mit Asci

.

       
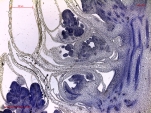
Sporenpflanzen

Lebermoos
Archegonienstand

.

Lebermoos
Archegonienstand

.
"Moosblüte"
mit Antheridien
"Moosblüte"
mit Antheridien
 

Selaginella
Mikrosporangien

mit Mikrosporen

Selaginella
Makrosporangien
mit Makrosporen
Selaginella
Mikrosporangium

mit Mikrosporen

Selaginella
Mikrosporangium
und Makrosporangium

 
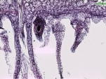
Farn
Prothallium
mit Antheridien
Lebermoos
Archegonien
Laubmoos
Antheridienstand
Laubmoos
Botanik
Aristolochia
Stengel tangential
.
Pinus silvestris
Tracheiden, Hoftüpfel
Markstrahl
Nerium oleander
Blatt quer
Kalmus
Wurzel quer
 
Kalmus
Wurzel quer
.
Kalmus
Wurzel quer, gestackt
Arctium
Stengel quer
Arctium
Stengel quer
 
 
Arctium
Stengel quer
.
Arctium
Stengel quer
Arctium
Stengel quer
Asparagus
Sproß längs
 
 
Asparagus
Sproß längs
.
Kalla
Hypodermis
Kalla
Hypodermis
Kalla
Hypodermis
 
   
Helodea
Vegetationskegel
.
Trapa
Stengel quer
Triticum
Frucht mit Embryo
 
Anatomie
Mensch
Kopfhaut
.
Axolotl quer
Wirbel und
Rückenmark
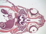
Guppy
Auge mit Linse
und Retina
Guppy
Hirn und Augen
quer
Guppy
Augen und Mund-
höhle, quer
Helix
Auge
Schmetterling
Facettenauge mit
Rhabdomeren
Katze
Hirnrinde
Silberimpregnation

 
Katze
Hirnrinde mit Pyramidenzellen
Katze
Rückenmark mit
a-Motoneuronen
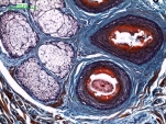
Katze
Reifer follikel
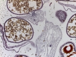
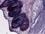
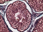
Rind
Hodenkanal mit
Spermien
 
Axolotl
Neuralrohr
.
Axolotl
Neuralrohr und
Chorda
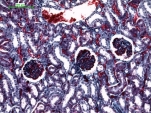
Katze
Nierenrinde mit
Nierenkörperchen
Mensch
Haare quer mit
Talgdrüsen
 
Guppy, Kopf
.
Guppy, Kopf Guppy, Rückenmark Guppy, Auge
   
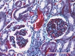
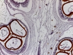
Katze
Nierenrinde mit
Nierenkörperchen
Katze
Niere
Katze
Niere
   
Arthropoden
Mücke
.
Menschenfloh Wanze
     
Schmetterling, Flügelschuppen
.
Schmetterling, Flügelschuppen
Diatomeen
Santa Monica
.
Santa Monica Santa Monica Santa Monica
Point Dume
.
Pensacola Pensacola
Radiolarien
Brünner Tegel
.
Brünner Tegel Brünner Tegel Südsee
Südsee
.
Südsee Südsee
 
         
 
         
     
         
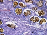
Foraminiferen
Brünner Tegel
.
Brünner Tegel
Kristalle
(Polarisation)
Traubenzucker
.
Rohrzucker Ascorbinsäure
     
KH2PO4
.
KH2PO4
Dünnschliffe
(Polarisation)

.
 

.
Nummulitenkalk
 
Kalkstein
Wedel / Hamburg
Muschelkalk
     

 

Die Bilder wurden heruntergesampelt, die Bilder von Diatomeen, Radiolarien und Foraminiferen sind i.d.R. gestackt.

< HOME >

Copyright: g.wawczyniak@gmail.com