Stacken, stitchen, tone mapping

Einfache Bildbearbeitung am Computer

Mit der Einführung digitaler Kameras hat sich auch für den Amateurmikroskopiker einiges erleichtert, die Resultate sind sofort sichtbar und Korrekturen möglich. Zudem können große Bildserien aufgenommen werden ohne dass große Kosten z.B. für Filmmaterial anfallen.
Auf der anderen Seite kämpft der Fotograf im Mikrokosmos mit zahlreichen systemimmanenten Problemen, die uns auch im Zeitalter der digitalen Fotografie bis heute treu geblieben sind:
  1. Die Schärfentiefe mikroskopischer Bilder ist, insbesondere bei hohen Vergrößerungen, nur sehr gering. Bei der visuellen Betrachtung kann durch die ständige Nutzung des Feintriebs am Mikroskop schnell ein kompletter Eindruck vom Präparat gewonnen werden. Ein Foto ist dagegen immer eine Momentaufnahme aus einer einzelnen Schärfeebene. Zwar lässt sich die Schärfentiefe durch zuziehen der Kondensorblende bis zu einer gewissen Grenze erhöhen, allerdings geht die Verkleinerung der Beleuchtungsapertur auch mit einer verminderten Auflösung sowie mit einer oft extremen Kontraststeigerung bei verschlechterter Farbwiedergabe einher. Alternativ können mehrere Aufnahmen des Präparates aus verschiedenen Schärfeebenen erstellt und die scharfen Bildbereiche dann anschließend am Computer zu einem Bild kombiniert werden. Geeignete Programme zu diesem Zweck sind beispielweise CombineZ, Picolay (beides freie Software) oder HeliconFocus (kostenpflichtig).
  2. Ein weiteres Problem, insbesondere bei größeren Schnittpräparaten, ist der eingeschränkte Überblick über das Präparat. Objektive mit niedriger (Lupen-) Vergrößerung (1x, 1,25x etc.) sind meist nicht ganz preisgünstig und stellen zudem häufig auch noch zusätzliche Ansprüche an das übrige optische System (z.B. leuchten nicht alle Kondensoren das Gesichtsfeld bei diesen Objektiven zufriedenstellend aus). Auch ist das Auflösungsvermögen dieser Objektive (angegeben durch die numerische Apertur) naturgemäß meist geringer als das hochvergrößernder Objektive. Zur Erstellung von Übersichten bei hoher Auflösung ist es jedoch möglich, den interessanten Bereich im Präparat mit mehreren sich überlappenden Aufnahmen bei hoher Auflösung aufzunehmen und diese Bilder dann im PC zu einem Gesamtbild ("Panoramabild") zu kombinieren. Dieses Verfahren wird auch als stitchen bezeichnet. Auch zu diesem Zweck gibt es kommerzielle und freie Software, beispielsweise Autostitch.
  3. Das dritte Problem ist der meist sehr eingeschränkte Dynamikumfang der Kameras (insbesondere der erschwinglichen). Die Kombination von Auge und Gehirn ist extrem leistungsfähig. Je nachdem, worauf wir unsere Aufmerksamkeit lenken, können wir sowohl Details in einer dunklen Zimmerecke sehen und Sekundenbruchteile später Details an einem hellen sonnenbeschienenen Fenster erkennen. Diese Adaption ist mit einem Foto nicht möglich. Ist der Helligkeitsumfang zu groß, erscheinen entweder einige Bildbereiche zu dunkel oder andere überstrahlt (oder beides). Aber auch hier gibt uns die Computertechnik neue Hilfestellungen an die Hand. So können von dem fraglichen Bildausschnitt mehrere Aufnahmen mit unterschiedlicher Belichtungszeit aufgenommen werden, sodass alle Bildbereiche auf zumindest einer Aufnahme korrekt abgelichtet sind. Die korrekt belichteten Ausschnitte verschiedener Aufnahmen der Serie werden anschließend elektronisch zu einem Bild kombiniert. Eine geeignete freie Software wäre z.B. Picturenaut.

Dr.Ole Ammerpohl

Im Folgenden möchte ich den Effekt der elektronischen Bearbeitung beispielhaft darstellen:

1) Kombination von Schärfeebenen



Die Bilder zeigen einen Ausschnitt der Fangmaske einer Libellenlarve (Exuvie von Aeshna cyanea). Die Bilder wurden aufgenommen mit einem Objektiv HC Fluotar 5/0.15. Die Bilder oben zeigen 3 Einzelaufnahmen einer Serie aus unterschiedlichen Schärfeebenen, unten das gestackte und nachbearbeitete Bild, alle scharfen Bereiche sind in einer Abbildung fusioniert.


2) Erstellung von Panoramabildern

 


Das linke Bild zeigt ein Präparat (Schnitt durch eine Froschlarve) mit einem 10x Objektiv (Leica HC Fluotar 10x/0.30). Das rechte Bild ist mit einem Leica PL Apo 20/0.60 aufgenommen worden. Das rechte Bild wirkt schärfer und ist besser aufgelöst. Allerdings ist nur ein kleiner Ausschnitt dargestellt.



Anschließend wurden von dem Präparat überlappende Einzelaufnahmen mit dem 20x Apochromaten aufgenommen (siehe Mosaik oben).

 


Das Bild links zeigt das mit Autostitch zusammengesetzte Mosaik. Es ist wesentlich besser aufgelöst als eine auf etwa vergleichbare Größe gebrachte Ausschnittsvergrößerung des ersten Bildes mit dem 10er Objektiv (Bild rechts).

Mit dieser Technik lassen sich auch Übersichtsdarstellungen von sehr großen Präparaten erstellen:



Diese Übersichtsaufnahme eines Paraffinschnitts einer Kaulquappe wurde aus 46 Einzelaufnahmen (HC PL Fluotar 5x/0.15) zusammengesetzt.


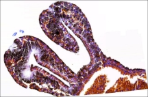
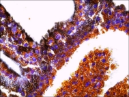
3) Kombination von Bildern mit unterschiedlicher Belichtung



Das linke Bild ist insgesamt unterbelichtet (20ms Belichtungszeit), die Cilien sind jedoch gut dargestellt. Das mittlere Bild ist im Bereich (40ms) der stärksten Färbung immer noch etwas zu dunkel, im rechten Bild (80ms) ist die Helligkeit in den meisten Bereichen insgesamt zwar gut, allerdings ist der Bereich der Cilien überbelichtet ("ausgebrannt"). Die Kombination aller drei Bilder ergibt eine ausgewogene Darstellung aller Bereiche (unten folgendes Bild).




Die Aufnahmen können anschließend natürlich noch mit anderen Bildverarbeitungsprogrammen (Photoshop, Gimp) z.B. zur Anpassung von Kontrast, Helligkeit etc. weiterbearbeitet werden.

Die Bilder wurden heruntergesampelt.

< HOME >

Copyright: Ole Ammerpohl