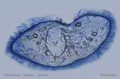
Ciliaten sind Einzeller, die entweder vollständig mit Cilien besetzt sind ("holotriche Ciliaten") oder aber ein Mundfeld besitzen, das von einem Cilienkranz umgeben ist ("peritriche Ciliaten"). Typisch für alle Arten ist der Besitz eines Großkernes ("Makronucleus") und eines Kleinkernes ("Mikronucleus"). Anfänger verwechseln gelegentlich peritriche Ciliaten mit kleinen Rädertieren, jedoch besitzen die vilzelligen Rädertiere stets einen sich ständi bewegenden Kauapparat ("Mastax"), der den Ciliaten naturgemäß fehlt.
Die meisten Ciliaten besiedeln die Oberfläche diverser Substrate, einige Arten sind sessil, Koloniebildung kommt vor. Obwohl Ciliaten nicht zum Plankton gehören, findet man sie regelmäßig in Planktonfängen.
Ciliaten können von Amateuren nur lebend untersucht werden, da sie sich bei Kontakt mit einem Fixiermittel - z.B. Formalin - sofort zusammenziehen. Das Anfertigen von gefärbten oder silberimprägnierten Dauerpräparaten ist zwar möglich, erfordert jedoch viel Erfahrung und sehr spezielle Chemikalien.
Man hemmt die Bewegung der Ciliaten durch Zusatz von Quittenschleim, einer 2%-igen Gelatinelösung oder einer wässrigen Lösung von "Histowachs". Eine schonende Tötung ist mit Hilfe eines Tropfens Nicotinlösung möglich (Lösung für E-Zigaretten, empfohlen im Mikroskopie-Forum). Schon die Untersuchung im Hellfeld liefert brauchbare Bilder. Besser ist die Anwendung von Phasenkontrast oder Differential-Phasenkontrast. Auch die Untersuchung im Dunkelfeld ist sinnvoll.
Die beigefügten Bilder wurden von Herrn Dr.K.Spiekermann, einem Mitglied unserer Gruppe, zur Verfügung gestellt. Die Bilder wurden heruntergesampelt und zudem farblich nachbearbeitet.
![]() |
![]() |
![]() |
![]() |
![]() |
![]() |
![]() |
![]() |
![]() |
![]() |
![]() |
![]() |
![]() |
![]() |
![]() |
![]() |
![]() |
![]() |
![]() |
![]() |
![]() |
![]() |
![]() |
![]() |
![]() |
![]() |
![]() |
![]() |